

Pravidelné prohlídky

Pravidelné prohlídky pacientů s kardiovaskulárním onemocněním nebo rizikovými faktory jsou klíčové
pro včasnou diagnostiku a prevenci závažných komplikací.
V rámci sekundární prevence provádíme prohlídky u pacientů s diagnózou:
- Infarkt myokard
- Srdeční selhání
- Mozková mrtvice
- Arytmie
V rámci primární prevence se zaměřujeme na pacienty s:
- Arteriální hypertenzí
- Dyslipidemií
- Výskytem kardiovaskulárního onemocnění v rodině
- Arytmií
- Obezitou
Důsledné sledování a včasná intervence mohou zachránit životy a zlepšit kvalitu života pacientů.
Echokardiografické vyšetření

Ultrazvukové neboli echokardiografické vyšetření srdce umožňuje zhodnotit funkci srdce a chlopní.
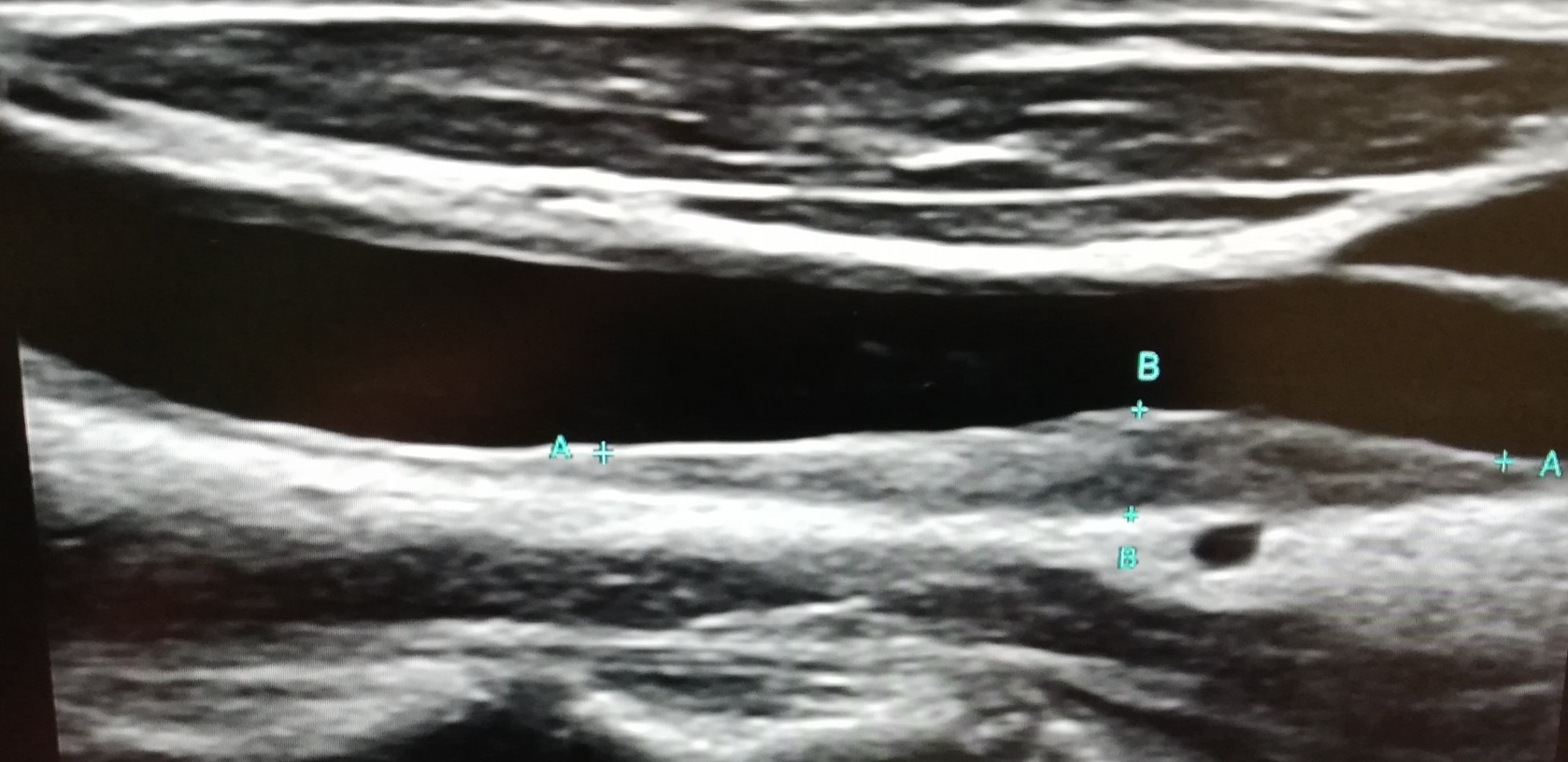
Sonografické vyšetření krčních tepen

Sonografické vyšetření krčních tepen slouží k detekci aterosklerotických změn v krčních tepnách. Přítomnost aterosklerotických změn poukazuje na zvýšené kardiovaskulární riziko a nutnost farmakologické intervence.
24-hodinový EKG holter

Slouží k odhalení poruch srdečního rytmu (arytmie) pomocí EKG.
24-hodinový monitor tlaku (ABPM)

Vyšetření se provádí k upřesnění diagnózy vysokého krevního tlaku a k posuzování účinnosti léčby. Umožňuje sledovat hodnoty krevního tlaku přes den i v noci. Dokáže diagnostikovat falešně zvýšené hodnoty TK v ambulanci (hypertenzi bílého pláště) a maskovanou hypertenzi.
